Smile Gallery
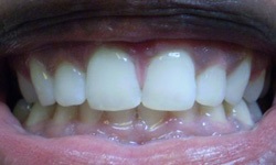
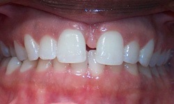
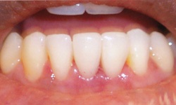
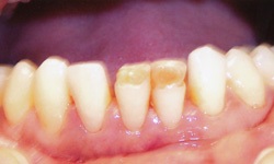
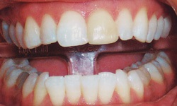
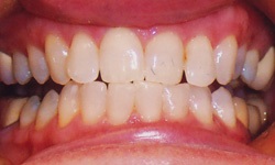
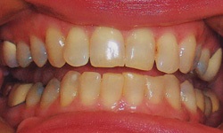
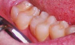
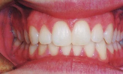
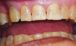
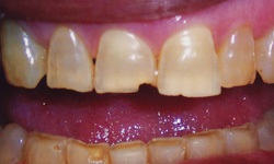
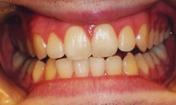
Welcome to our gallery! Here, you can witness the impressive transformations achieved by Dr. Mike Musso, General Dentist, Dr. Mark Musso, General Dentist, and Dr. John Bounds, General Dentist, through their expert, personalized dental care. Our before-and-after images showcase the remarkable results of our high-quality treatments and their positive impact on our patients’ smiles.
To learn more about our treatment options or to schedule a visit with our friendly team, serving Garland, TX, and the surrounding areas including Rockwall, Dallas, Lakewood, Rowlett, Richardson, Sachse, Wylie, Plano, Mesquite, and Highland Park, contact Musso Family Dentistry today at (972) 840-8477. We look forward to helping you achieve a stunning, confident smile!
Before and After
CALL TODAY FOR A HEALTHY
SMILE, HEALTHY LIFE
Visit Our Office
Office Hours
- MON7:00 am - 4:30 pm
- TUE7:00 am - 4:30 pm
- WED7:00 am - 4:30 pm
- THU7:00 am - 4:30 pm
- FRIClosed
- SATClosed
- SUNClosed



















